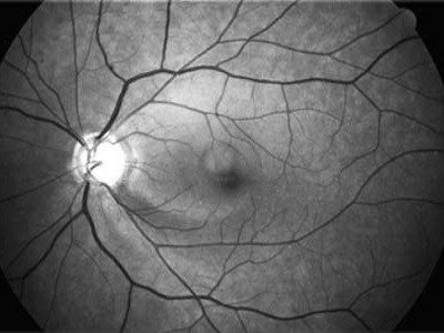
Glaukom - zobrazovací metody
Současné zobrazovací metody glaukomu považujeme za velmi přínosné pro stanovení diagnózy glaukomu a sledování vývoje onemocnění v čase. Těmito metodami sledujeme objektivně projevy glaukomové neuropatie včetně její progrese.








